außerhalb der Sprechzeiten

In Notfällen können sie mit folgendem Link den von ihrem Standort aus nächstgelegenen Zahnärztlichen Notdienst ermitteln Notdienstsuche bei der Zahnärztekammer Westf. Lippe

oder unter folgender Rufnummer erfragen
(14ct/min aus dem detschen festnetz):

Die Online Terminanfrage befindet sich noch im Aufbau
So lange stellen Sie Terminanfragen bitte via:



Prothetisches Facelift

Versorgung von Abrasionsgebissen

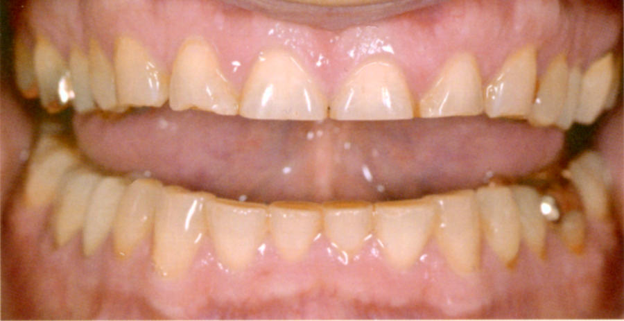
Wir haben uns auf die Therapie von großflächigen Defekten, die durch Abrasion oder Attrition (die Abnutzung von Zahnhartsubstanzen) entstehen, spezialisiert. Diese Therapien lassen sich, da sie oft auch mit funktionellen Problemen verbunden sind nicht sofort durchführen, sondern bedingen eine längere Vorbehandlung.
Bei diesen komplexen Versorgungen können wir sie durch die Möglichkeit hochwertiger Schienen und Langzeitprovisorien in Druck- und Frästechnik, die wir in unserem zahntechnischen Labor vor Ort haben, optimal unterstützen.

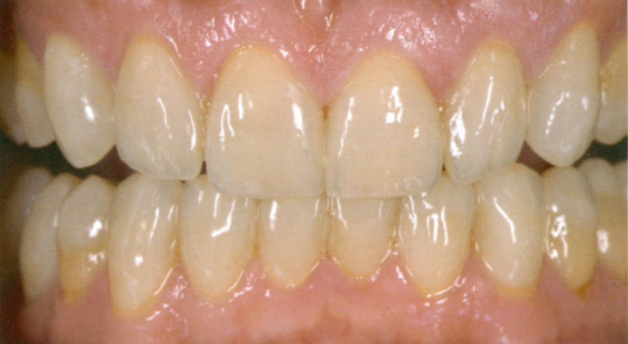
Sehr große Defekte im Backenzahnbereich, durch Zahnverlust oder Abnutzung, führen zu einem Absinken des Bisses und damit zu einer Kompression des Mittelgesichtes, oft auch zu einer Verschiebung oder Verkürzung der Schneidezähne. Dies lässt die betroffenen Patienten "alt aussehen" und führt auch zu Problemen beim Kauen und Verspannungen, wodurch chronische Kopfschmerzen ausgelöst werden können. Dies können wir durch schrittweise Bisshebung, angefangen mit Scheinen die 24h getragen werden über die Versorgung mit festsitzenden Langzeitprovisorien, bis zur endgültigen prothetischen Versorgung mit perfekter Ästhetik effektiv behandeln. Ziel dieser Maßnahmen ist es die ursprünglich im jugendlichen Alter bestandene Bisshöhe wieder herzustellen.

Implantate
Mehr als 20 Jahre Erfahrung

Bereits seit dem Jahr 2000 wurden Implantate ins Spektrum unserer prothetischen Versorgungen integriet, die sich dadurch erheblich vereinfacht. Aktuell verwendet werden Implantat Systeme der Camlog GmbH, ein namenhafter deutscher Hersteller der erfolgreich am Markt ist und eine weitreichende und zukunftssichere Unterstützung gewährleistet, damit die eingesetzten Implantate auch nach vielen Jahren noch in zukünftige Versorgungen problemfrei integrieren werden können. Wir sind durch mehr als 20 Jahre Erfahrung in der Lage mit allen am Markt erhältlichen Systemen zu arbeiten, können also auch bereits vorhandene Implantete neu versorgen oder in neue Versorgungen integrieren. Auf Wunsch oder bei sehr schwierigen Fällen arbeiten wir auch mit anderen Chirurgen / Kliniken zusammen. Patientenbroschüre Implantologie